結婚式を控えた患者様へ

結婚式を控えているけど矯正治療を始めたい、でも矯正装置が見えるのはイヤ・・・。と迷われたり、結婚式に向けて歯を白くしたい!という方に向けた治療プランをご用意しております。一生に一度の結婚式。より美しい口元で迎えていただけるよう、我々がお手伝いいたします。
より美しい口元で結婚式を

結婚式を控えている患者様に対して、結婚式前に一時的に矯正装置を外す治療プランをご用意しています。結婚式までに優先的に歯並びが乱れた部分を整え、式の前に装置を外し、仕上げにホワイトニングやホワイトコート(歯を一時的に白くするマニキュア)など歯を白くする処置を行うことでより美しい口元を実現します。披露宴や新婚旅行といった大切なイベントが一段落しましたら再度装置を装着し、残りの部分の治療を行い、最終的に口元全体の歯並びの治療を行います。幸せのスタートを切る大切な日を、もっと素敵な笑顔で迎えませんか?
花嫁さんへの2つの治療パターン
-
Plan.1舌側矯正

歯の裏側に矯正装置をつける舌側矯正は、装置が目立つことがないので、途中(結婚式前)で矯正装置を外す必要がありません。矯正治療が終了するまで矯正器具を装着しておくことができ、当院の取り扱い治療方法のなかでも人気の治療方法です。結婚式前に矯正装置を外すことで矯正治療がストップしてしまう心配もなく、イベントがあってもロスなく矯正治療を行うことができます。
-
Plan.2結婚式に
合わせた矯正治療
結婚式前までに出来る限り歯並びを美しく治療する方法で、費用的な問題や治療方法の希望などにより舌側矯正ではない方がいいという方に向けた治療方法です。結婚式前までに目立つ部分の矯正治療を行い、結婚式の際に一時的に矯正装置を取り外し、ホワイトニングを行います。披露宴やハネムーンの後に矯正装置を再度装着し、治療を再開していきます。
結婚式に合わせた矯正治療を行うことで、結婚式の当日は見た目の改善は出来ていても、咬み合わせの微調整などの最終治療を残した状態です。そのため結婚式前に矯正装置を一時的に除去し、式やハネムーンなどの後に再度矯正装置を装着し、最終的な治療を行う必要があります。その際に、装置を外している間に少しずつ歯が元の位置に戻っているため痛いと感じられる方も少なくありません。その分、治療期間も延びてしまいます。また次は出産準備などで忙しく、なかなか来院しにくいといった方もいらっしゃいます。どの矯正方法を選ぶかを迷われたときには、お気軽にご相談ください。ご希望を元に患者様に一番合った治療方法をご提案をさせていただきます。
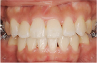
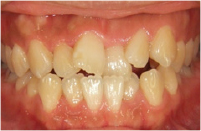
治療例
| 初診時年齢 | 27歳 |
|---|---|
| 主訴 | 結婚式までに歯並びをキレイにしたい |
| 診断名 | 叢生を伴う下顎前突 |
| 治療に用いた装置 | マルチブラケット装置 |
| 抜歯部位 | 上下左右4番 |
| 治療期間 | 矯正治療中(アフター写真は8カ月経過した状態) |
| 費用の目安 | 費用のページへ |
| リスク副作用 | リスク副作用に ついて |
治療前
8カ月経過
結婚式前後の治療の流れ
- 来院/結婚式まで半年
- 目立つ部分の治療
- 装置を外し、ホワイトニング
(ホワイトコート)/
結婚式・前撮りまで1週間 - 結婚式当日、ハネムーン
- 治療再開
矯正治療におけるリスク

- ●個人差はありますが、痛みがでることがあります。
- ●大人と子共どちらの矯正も治療に協力していただけないことがあると治療が延びることがあります。
- ●矯正装置がつくことで歯磨きが難しくなるので、虫歯や歯肉炎にかかりやすくなります。
- ●矯正治療後、保定装置を入れていただけないことなどがあると後戻りする可能性があります。
- ●大人の方で歯周病が進行している方の場合、一般歯科にて歯周病治療をしていただいてから矯正治療を開始することがあります。
- ●矯正器具により口内炎ができやすくなります。




ご予約