20代からの矯正治療

「学生のうちに矯正治療を受けておきたい」「面接時に良い印象を与えたい」「結婚式までにキレイにしたい」と思われておられる方も多いのではないでしょうか?20代は成人式、卒業式、就職、結婚式・・・とまさに人生の転換期、大人へステップアップしていく過程で自分自身のコンプレックスを克服していく最大のチャンスです。
歯並び気になっていませんか?
20代の女性を対象にしたアンケート調査では、なんと約9割の方が「歯並びをキレイにしたい!」と思っておられるという興味深い結果が出たそうです。「大切な人と会話するとき口元が気になって・・・」という方、案外多くいらっしゃるのでは?20代前半であれば卒業、就活、その後は結婚、転職などのタイミングで、今まで気になっていた歯並びを治そうと矯正治療を始める方が増えています。
20代に人気の矯正治療メニュー
-
Menu.1舌側矯正
歯の裏側に矯正装置をつけるタイプの治療方法です。

人気の秘密
歯の裏側に矯正装置を付けるため、周囲の人に気づかれずに治療できるのが人気の理由です。ガタガタの歯並びでも治せるのが人気で、特に出っ歯の治療に有効な治療方法です。
-
Menu.2結婚式を
控えた方に
向けた矯正治療結婚式前にキレイな口元になりたい方に向けた矯正治療プランです。

人気の秘密
結婚式までに歯並びを整えたい!という方に好評です。最近では、結婚を機に歯並びをキレイにする方が多くなっています。自信に溢れた笑顔で結婚式を迎えていただけます。
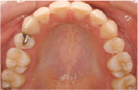
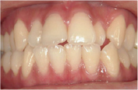
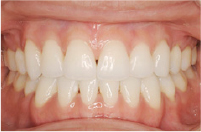
20代 治療例
| 初診時年齢 | 23歳 |
|---|---|
| 主訴 | 口元が出ているのが気になる |
| 診断名 | 叢生を伴う上顎前突 |
| 治療に用いた装置 | リンガルブラケット矯正装置 |
| 抜歯部位 | 上下左右4番抜歯 |
| 治療期間 | 2年3ヶ月 |
| 費用の目安 | 約800,000円 |
| リスク副作用 |
|
治療前
治療後
こんなこと、悩んでいませんか?
- 矯正治療を始めたいけど、周りの人にばれたくない・・・
- 費用を抑えつつ目立たない治療がしたい
- 結婚式までにキレイにしたい
- 自信を持って就活に取り組みたい
自分に合う矯正装置が分からなかったり、自分の歯並びが治療できるか不安に思っておられませんか?心配ありません。あなたに合った矯正装置の選択など、全てにおいてスタッフ一同全力でサポートいたしますのでお任せください。理想の整った歯並びによって、あなたが自信を持って笑顔になっていただけるようお手伝いします。
矯正治療におけるリスク

- ●個人差はありますが、痛みがでることがあります。
- ●大人と子共どちらの矯正も治療に協力していただけないことがあると治療が延びることがあります。
- ●矯正装置がつくことで歯磨きが難しくなるので、虫歯や歯肉炎にかかりやすくなります。
- ●矯正治療後、保定装置を入れていただけないことなどがあると後戻りする可能性があります。
- ●大人の方で歯周病が進行している方の場合、一般歯科にて歯周病治療をしていただいてから矯正治療を開始することがあります。
- ●矯正器具により口内炎ができやすくなります。




ご予約