50歳からの矯正治療

年齢を重ねるごとに、より美しく若さを保ちたいと感じておられる方は多いのではないでしょうか。経年的な身体の老化を完全に避けることはできませんが、歯科医学の進歩により、加齢による変化を遅らせることが可能になり、より若々しい状態を保つことができるようになりました。矯正治療で、あなたの魅力をより一層引き出すためのお手伝いをいたします。
矯正治療はいつからでも
スタートできます
- 50歳からの矯正治療では遅いのでは・・・?
- 見た目だけでなく、将来自分の歯で噛める環境を整えたい!
- 口元を若々しく保ちたい!
- 詰め物や被せ物がたくさんあっても治療できるの?
50代や60代の方、こんなふうに思っていませんか?矯正治療はいつからでもスタートしていただくことができます。当院には60代以上の患者様もたくさんいらっしゃいます。いつまでも健康で綺麗にいたい方は、年齢で躊躇されずに当院のカウンセリングにいらしてください。
再生治療を応用した矯正治療法
50歳からの矯正治療では、歯周病に罹患している方が多くおられます。そういった患者様の治療を行う場合、歯のまわりの組織にかかる負担に配慮しながら治療を行う必要があります。当院では、矯正治療に外科的な処置を併用し、骨を活性化させるPAOO治療を行っております。
外科処置を併用した治療の特徴

歯を支えている骨に小さな傷をつけ、活性化させることで、通常の治療に比べて歯が移動しやすい状態をつくることができます。また、矯正治療によってかかる、歯の根に対する負担を軽減することができ、後戻りの心配もほとんどありません。当院では、50代・60代の皆さんがより安心して矯正治療を行っていただけるよう、患者様に合わせた方法をご提案し、取り組んでおります。
いつまでも若々しく
「いつまでも美しく、若く」
女性は「いつまでも美しく、若く」という思いから、当院に来院される方が多いです。若々しさを保つ矯正治療とは、“見た目の改善”だけでなく“健康面の改善“です。いつまでも自分の歯でものを噛めることは、人生にとって素晴らしく重要なことです。虫歯や歯周病で歯を失わないために、将来的な健康を考えて、矯正治療の必要性が改めて注目されるようになってきています。もちろん矯正治療だけでは対応できない場合は、連携している一般歯科と協力しながら総合歯科診療を行い、矯正治療をスタートしていきます。
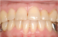
50代 治療例
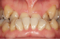
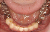
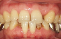
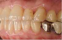
治療例1
| 初診時年齢 | 56歳 |
|---|---|
| 主訴 | 受け口が気になる |
| 診断名 | 叢生を伴う下顎前突 |
| 治療に用いた装置 | リンガルブラケット矯正装置 |
| 抜歯部位 | 非抜歯 |
| 治療期間 | 2年6ヶ月 |
| 費用の目安 | 1,250,000円~ |
| リスク副作用 |
|
治療前
治療後
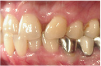
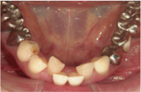
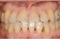
治療例2
| 初診時年齢 | 53歳 |
|---|---|
| 主訴 | 歯のガタガタが気になる |
| 診断名 | 叢生を伴う下顎前突 |
| 治療に用いた装置 | リンガルブラケット矯正装置 |
| 抜歯部位 | 非抜歯 |
| 治療期間 | 1年4ヶ月 |
| 費用の目安 | 1,250,000円~ |
| リスク副作用 |
|
治療前
治療後
矯正治療におけるリスク

- ●個人差はありますが、痛みがでることがあります。
- ●大人と子どもどちらの矯正も治療に協力していただけないことがあると治療が延びることがあります。
- ●矯正装置がつくことで歯磨きが難しくなるので、虫歯や歯肉炎にかかりやすくなります。
- ●矯正治療後、保定装置を入れていただけないことなどがあると後戻りする可能性があります。
- ●大人の方で歯周病が進行している方の場合、一般歯科にて歯周病治療をしていただいてから矯正治療を開始することがあります。
- ●矯正器具により口内炎ができやすくなります。




ご予約